歯をほとんど失ってしまった方へ
たった4本のインプラントで
失った歯を一気に回復できる
オールオン4/All-on-4
片顎あたり258.5万円~ (税込)

~次のような方にお勧め~
- 虫歯や歯周病で、ほとんどの歯を失ってしまった
- 総入れ歯が合わず、痛みや違和感がある
- できるだけ身体的・経済的な負担を抑えたい
- 顎の骨が少なく、インプラントは困難と診断された
たった4本のインプラントで
失った歯を一気に回復できる
オールオン4/All-on-4
片顎あたり258.5万円~ (税込)

~次のような方にお勧め~





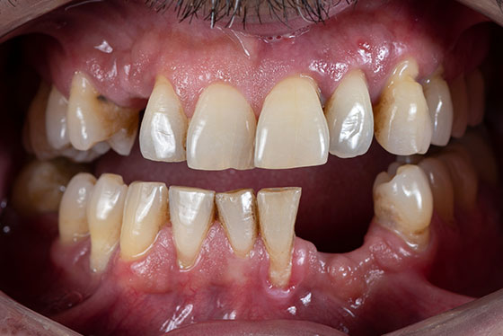
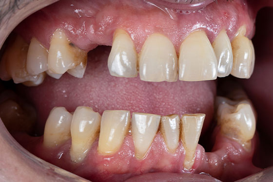
虫歯や歯周病で多くの歯を失ってしまうと、毎日の生活の中で、さまざまなつらさを抱えやすくなります。
「もう一生、美味しく食事を楽しめないのでは…」
「人前で口を開けるのが恥ずかしくて、笑えない」
「言葉がうまく発音できず、会話が苦痛になってきた」
このようなお悩みが続くと、外出や人付き合いを避けるようになったり、性格まで変わってしまったと感じる方もいらっしゃいます。
総入れ歯に変えたものの、お悩みがなかなか解決しない…という声も多く聞かれます。
「インプラントならしっかり噛めるようになるかもしれない」と感じていても、失った歯すべてを1本ずつインプラントにするとなると、本数も多く、手術や費用の負担がとても大きくなってしまいます。
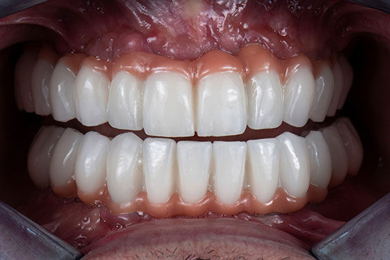
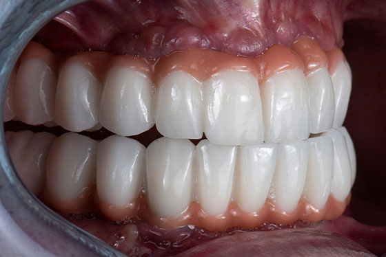
そこで当院では、多くの歯を失った方に対して、負担をできるだけ抑えながら「しっかり噛めるお口」を目指す方法として、「All-on-4(オールオンフォー)」をご提案しています。

All-on-4とは、片顎につき最低4本のインプラントで、すべての歯を支える治療法です。必要なインプラントの本数を抑えながら、多くの歯を安定して支えることができます。
従来は、失った歯1本ごとにインプラントを埋入する方法が一般的で、手術回数や治療期間、費用の負担が大きくなりがちでした。
All-on-4は、少ない本数でお口全体を支える設計のため、身体的負担・治療期間・費用のバランスを考慮しながら、しっかり噛める状態を目指せる点が大きな特長です。
一般的なインプラントとの違いを下表にまとめました。

次のようなお悩みがある方に、All-on-4をおすすめしています。
総入れ歯は、形や噛み合わせがほんの少し合わないだけでも、「痛い」「外れそう」「しゃべりにくい」といった不具合が出やすい装置です。
All-on-4では、インプラントで固定された土台の上に歯を装着するため、入れ歯のように外れてしまう心配が少なく、おしゃべりやお食事も、より自然に楽しめます。
山下歯科医院では、噛み合わせや見た目も、お一人おひとりのお口に合わせて丁寧に調整していきます。
All-on-4では、上下それぞれの顎に12本の歯が入ります。上下ともに治療を行う場合、症例によっては、手術当日からすべての歯が入り、噛める状態を目指すことも可能です。
長い間、噛めない状態や見た目に悩まれてきた方にとって、「その日から噛める」というのは、とても大きな安心感につながります。
失った歯をすべて従来のインプラントで補う場合、片顎につき8〜14本のインプラントが必要になることがあります。本数が多くなるほど、手術や治療費の負担も大きくなりがちです。
All-on-4は、片あごあたり最低4本、上下両顎でも最低8本のインプラントでお口全体を支えるため、従来の方法に比べてインプラントの本数を抑えやすく、身体的・経済的な負担を軽減しやすい治療法です。
当院では、治療内容や費用について事前に丁寧にご説明し、無理のない治療計画を一緒に考えていきます。


一般的なインプラント治療では、顎の骨の高さや厚みが足りないと、インプラントを安全に支えられず、治療が難しいことがあります。
All-on-4では、骨が比較的しっかり残っている場所を選び、インプラントを斜めに埋入します。そのため、一般的なインプラント治療に比べて、必要とされる骨量を抑えやすい治療法です。
骨の状態によっては、事前に骨を補う処置(骨造成)が必要な場合もあります。
当院では、自家骨や安全性の高い骨補填剤を使用し、失われた骨を再生させる「骨造成」の技術・設備を整えています。
手術中は、ドクターが清潔な環境下で、患者様一人ひとりの状態に合わせて骨補填剤を慎重に調製・混合し、インプラントを長期的に支えるための強固な土台を作り上げます。
All-on-4は、お口全体の噛み合わせや見た目を一度に整えていく、大きな治療です。そのため、十分な経験と技術が求められます。
当院では年間約300本のインプラント治療を行っており、GBR・サイナスリフトなどの難症例にも院内で対応しています。
治療は院長や、日本口腔インプラント学会認定の専門医が担当。
事前のカウンセリングから治療後のメインテナンスまで、責任を持ってサポートいたします。
治療に対するご不安やご希望も、どうぞ遠慮なくお聞かせください。


All-on-4は、骨のある部分を正確に選び、適切な角度でインプラントを埋入する高度な技術が必要です。当院では、歯科医師の「経験や勘」だけに頼るのではなく、確実なデータに基づくコンピューターガイデッド手術を行っています。
事前にCTデータを解析し、神経や血管の位置を完全に把握した上で、インプラントの埋入位置を0.1ミリ単位でシミュレーションします。これにより、外科的なリスクを最小限に抑え、長期的に安定する治療計画を立案します。
また、当院では手術本番までに最低でも3回以上のシミュレーション検証を重ねます。徹底的にルートを確認してから臨むため、実際のオペは「リハーサルを経た4回目」のような確実性を持って、スムーズかつ安全に行うことができます。

インプラント治療では、外科的な手術が必要になります。
手術中は麻酔を使用するため痛みは抑えられますが、「手術」そのものに不安を感じる方や、歯科治療そのものが苦手な方も少なくありません。
当院では、手術に対する恐怖心が強い方や、歯科治療が苦手な方に向けて、睡眠無痛治療(静脈内鎮静法)をご用意しています。
点滴からお薬を入れることで、うとうとと眠っているような、リラックスした状態になります。手術中のことをほとんど覚えていない方も多く、「気がついたら終わっていた」とおっしゃる方もいらっしゃいます。
当院では、執刀医が麻酔管理を兼任するのではなく、歯科麻酔専門医である八尾 敬子先生が、専属で麻酔を担当いたします。
手術中は、専門医が心拍数や血圧、血中酸素飽和度などの全身状態をリアルタイムでモニタリングし、万全の体制で患者様の安全を守ります。
「手術が怖くてインプラントに踏み出せない」という方も、専門家管理下の安全な環境で治療を受けていただけますので、まずは一度ご相談ください。
当院では、患者さんが抱えていらっしゃるお口のお悩みや疑問・不安などにお応えする機会を設けております。どんなことでも構いませんので、私達にお話ししていただけたらと思います。ご興味がある方は下記からお問い合わせください。
